Earned Placement: Art and Architecture Inspire a 2021 Townie Choice Award Recipient by Dr. Luis Carrière

Carriere Motion 3D Appliance for Sagittal Correction
With almost 20 years of clinical success, the Carriere Motion 3D Appliance1 for Class II correction is estimated to be employed by 60% of orthodontists in the U.S.2 Sold in 85 countries, it has been used to change the lives of more than 1 million people.3 Multiple case reports featured in peer-reviewed journals and two retrospective studies published in Angle Orthodontist attest to its efficiency and effectiveness.4,5 Dr. Luis Carrière’s 2016 JCO article, entitled “Nonsurgical Correction of Severe Skeletal Class III Malocclusion,” has been the most downloaded article from the journal’s website. It is available without a subscription.
The Carriere Motion 3D Appliance is the recipient of the 2021 Orthotown Townie Choice Award, and the Carriere Motion 3D Clear Appliance earned the Gold Delta Design Award from the ADI-FAD. Recognized for its aesthetic design, the Carriere Motion 3D for Class III correction is on permanent display at the Barcelona Museum of Design. Dr. Carrière is the inventor of the Carriere Motion 3D Appliance for both Class II and Class III correction, as well as Carriere SLX 3D7 Self-Ligating Brackets. Inventor, educator and practicing orthodontist, Dr. Carrière speaks about the development of the Motion 3D Appliance and the reasons behind its wide acceptance.
What inspired your invention of the Carriere Motion 3D Appliance?
I have always been interested in art, in sculpture, in painting and in organic forms, curves and smooth forms. Skeletal anatomy is all about curves. So naturally, I’ve also been fascinated by anatomy.
When I conceptualized Motion, the idea was to simplify sagittal correction to the max. When thinking about invention or art, always for me the best way is to observe Mother Nature. In imitating the articulation of the human hip joint and the rotation of our arms, I began to envision an efficient appliance for global A/P correction in one step. What could be better than imitating what nature and evolution has designed for movement over the millennia (Fig. 1)?
Was architecture likewise an inspiration?
Yes, particularly Antoni Gaudí. Do you know him? His work is captivating. Gaudí was a great observer of nature and imitated its natural forms. Observing the catenary curve, he turned it upside down for its amazing structural stability in his building designs. One of the most stable forms in physics is the curve. It has a tremendous capacity for neutralizing and minimizing stress. If you want a form resistant to stress, make it curve.
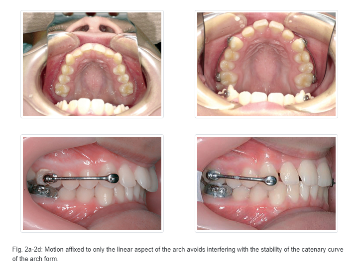
How does the Carriere Motion 3D Appliance avoid disturbing the stability of the curve of the arch form?
Arch form is like a catenary curve such as Gaudí uses in his designs. It is a stable structure. Adhering to the philosophy of Sagittal First, Motion 3D is bonded to the canine and first molar with an elastic engaged to the first or second molar in the opposite arch prior to fixed appliances or aligners being employed (Figs. 2a–2d). Since Motion segments the linear aspect of the arch without being connected to the anterior by fixed appliances or aligners, it avoids interfering with the catenary curve of the arch. Thus, it achieves sagittal correction efficiently while avoiding any interference in the stability of the catenary curve of the arch form.

Why is Sagittal First critical to treatment efficiency and effectiveness?
The sagittal problem is the most energy-demanding aspect of treatment. Sagittal First eliminates this issue by achieving a Class I platform before finishing in fixed appliances or aligners. If you affix a mechanism to solve A/P simultaneous with bonded brackets or while using aligners, you’ve created your own enemy to the intrinsic problem you’re wanting to solve. Anterior tooth repositioning simultaneous with sagittal correction sets up competing forces that slow both. Sagittal First creates a simple Class I environment in which to finish treatment in a short amount of time.
How did the specific idea of Motion come to you?
My aim was to find a solution for sagittal correction by accomplishing a number of movements simultaneously: Derotate and upright the first molar around its palatal root to gain arch length, halting its rotation when complete, then distalize the entire buccal segment, establishing self-activated collision points to control for unwanted torquing and tipping. Together, these movements change the occlusal plane, bringing the maxilla and mandible into greater harmony.
Because there were a number of elements to address concurrently, the flow of movement between each needed to be smooth and even. I had had an idea for a design mulling in my mind, a ball-and-socket joint attached to a solid connector bar that could be bonded to the posterior segment of the arch, when one day the concept for Motion came to me almost fully formed. Being a sculptor, I’ve learned to get inspiration committed to a design before it escapes me, so I carved the idea in 3D into a bar of soap while it was still clear in my mind. From there, I had a prototype created and a couple of years later, the Carriere Motion 3D Appliance for Class II correction came onto the market. I finally worked out the design for the Carriere Motion 3D Appliance for Class III correction and introduced it into the market approximately 10 years after that.
What were your primary goals in developing the Carriere Motion 3D Appliance?
There were many, so I’ll name three.
First: To limit extractions, offering a means of correcting the sagittal aspect of the malocclusion to gain space from molar derotation and uprighting. Motion changes the posterior occlusal plane in both Class II and Class III malocclusions, which makes a direct change on the Wits appraisal, dramatically improving the relationship between the maxilla and the mandible to benefit the facial symmetry.
Second: To offer a gentle invitation to movement and a mild approach to transitioning the malocclusion to a Class I platform, usually in three to six months. This allows clinicians to focus on the finishing elements of the case much sooner.
Third: To be comfortable for patients and doctors alike, and quick and easy to bond. The Motion 3D Appliance came years before same-day starts, but perfectly facilitates them. Taking fewer than five minutes to bond, Motion 3D appliances can be easily delivered during the initial consultation.
You mentioned same-day starts. Does remote monitoring work with the Carriere Motion 3D Appliance?
Yes. I am a devoted user of Grin remote monitoring. With it, Motion 3D is a two-appointment treatment—bonding and debonding. Since Motion is self-directed from the time it’s engaged until correction, our role as doctors is to place and remove it because there is no intervening activation required. Patient touchpoints are all virtual with the patient sending scans captured with their cell phones using Grin Scope to the Grin platform. Patients love this idea.
How do you finish treatment after Motion 3D establishes a Class I platform?
We conclude treatment either in braces or Reveal aligners. Today, patients want beautiful finishes in as few appointments and as little time as possible. To accomplish this, we need goal-oriented designed appliances such as the Carriere SLX-3D Self-Ligating Brackets combined with the Carriere M-Series three-wire system and effective treatment protocols that support Minimum Touch Orthodontics. In that endeavor, remote monitoring with Grin is an important partner.
Do you have any innovations in progress just now?
Indeed, yes. I’ve long wanted to develop a power chain substitute for retraction and closing spaces. Silicone power chain suffers from degradation, called creeping, which means it loses power under loading. It is also susceptible to temperature and moisture, creating an environment for bacteria to grow, which can cause spotting and gingival inflammation. Replacing it throughout treatment adds considerable in-office appointments. My solution is currently in testing. It consists of continuous, closed loops, with as many loops as required, made of nickel-titanium that does not experience creeping nor any of the issues of silicone. NiTi is hygienic and efficient. My device will close space or retract the anteriors with no need for replacement and once the movement is complete, it becomes passive.
What have been your greatest rewards in orthodontists’ use of the Carriere Motion 3D Appliances?
I am gratified that the first Motion 3D Appliance is the appliance of choice for so many U.S. and global practices. The primary goal of Motion 3D is to minimize extractions for all but the most necessary situations based on facial aesthetics. Extractions, when based on the mechanical limitation of certain orthodontic appliances, can ruin patients’ faces and likewise their self-confidence. Attractiveness and self-assurance should always be improved by treatment. In the end, we’re all soft-tissue sculptors, seeking to enhance facial harmony. If the Carriere Motion 3D Appliance can assist in creating this harmony and do it simply and comfortably, minimizing in-office appointments and treatment times, it will have exceeded my hopes for it when I first carved its concept into that bar of soap.
References
1. Trademark of Ortho Organizers, Carlsbad, California.
2, 3. Sales records from Henry Schein Orthodontics, Carlsbad, California.
4. Trademark of Ortho Organizers.
5. Kim-Berman, H., et. al. “Treatment Effects of the Carriere Motion 3D Appliance for the Correction of Class II Malocclusion in Adolescents.” Angle Orthod. 2019 Nov; 89(6):839–846.
6. McNamara, J.A, et. al. “Evaluation of Adolescent and Adult Patients Treated with the Carriere Motion Class III Appliance Followed by Fixed Appliances.” Angle Orthod. 2021 Mar 1; 91(2):149–156.
7. Trademark of Ortho Organizers.
Dr. Luis Carrière obtained his dental degree from the Complutense University of Madrid, and his MSc and PhD in orthodontics from the University of Barcelona. He was the recipient of the Joseph E. Johnson Clinical Award from the AAO, is on the editorial board of the AJO-DO and a contributing editor to the JCO.
He lectures internationally and is a visiting professor at several universities throughout the world. He maintains a private practice in Barcelona.
Article published in Orthotown Magazine